Hampaiden röntgenkuvaus
Tärkeä osa hammashoitoa vai puhdasta rahan haaskausta?
Monesti klinikalla käydään eläimen omistajan ja eläinlääkärin välillä keskustelua siitä saadaanko hammaskiven poiston yhteydessä ottaa hampaista röntgenkuvia. Onko se hyvä tehdä aina rutiinisti koko suun kuvauksena, kuvata vain jos on selvä epäily ongelmista vai poistella vaan heiluvat hampaat ilman mitään ”turhia” kuvia. Tässä artikkelissa pyrimme vastaamaan kysymykseen lemmikin terveyden kannalta tärkeiden tekijöiden näkökulmasta
Koiran ja kissan suussa on hyvin erilaisia sairauksia ja vaivoja, joten asiaa tulee tarkastella ainakin yleisimpien vaivojen kannalta. Samalla on hyvä käydä läpi tarkemmin mitä perinteinen ”hammaskiven poisto” eläinlääkärin hoidossa oikeastaan pitää sisällään. Hammaskiven poiston sijaan pitäisi puhua enemmänkin suuterveyden perustutkimuksesta pitäen sisällään hammaskiven poiston ja hampaiden kiillotuksen. Ja luonnollisesti huolellisen suun tutkimisen mitaten ientaskut ja hampaiden kiinnityskudokset ientaskumittarilla - ja hammasröntgenin? Ja kun jatkossa puhutaan hampaiden kuvaamisesta, tarkoitetaan aina erillisen hammasröntgenin käyttöä. Perusröntgenlaitteella otettujen kuvien erotuskyky ei riitä luotettavaan hampaiden ja suun muutosten tulkintaan.
Parodontiitti

Koirien yleisin hammassairaus on parodontiitti, jossa ientaskusta alkava tulehdus etenee huonon suuhygienian vuoksi hampaan kiinnityskudokseen eli parodontaalirakoon sekä ympäröivään leukaluuhun. Parodontiitti vaatii pitkälle edetessään aina hampaan poiston. Monesti vaiva voidaan todeta alustavasti jo ientaskumittarilla, mutta kuitenkin parodontiitin etenemisen aste voidaan luotettavasti todeta vain hammasröntgenkuvalla.
Juuripaiseet

Eri syistä johtuen hampaan juuren ympärille voi kehittyä myös kivuliaita juuripaiseita. Juuripaisetta ei useimmiten voida todentaa pelkällä ulkoisella tutkimuksella vaan edellyttää aina alueen röntgenkuvaamista. Hoitamaton juuripaise voi puhjeta ihon läpi, suun sisään tai myös sierainonteloon, joka voidaan havaita sierainvuotona tai veren tulemisena sieraimesta. Tämän vuoksi myös aina sierainvuototapauksissa on hampaiden juurien röntgenkuvaaminen tärkeä osa tutkimusta.
Hammassyöpymätauti FORL

Kissojen yleisin hammasvaiva on ientulehduksen lisäksi FORL eli hammassyöpymätauti. Syöpymät ovat hyvin kivuliaita ja kohtalaisen suuri osa syöpymistä on ienrajan alapuolella. Tällöin syöpymää ei voida aina luotettavasti todeta kuin kuvaamalla hampaat. Usein kissoilla joille syöpymiä tulee, on niitä jo monessa hampaassa. Ja ajan myötä syöpymiä tulee valitettavan usein uusiin hampaisiin. Siksi erityisesti kissoilla joilla FORLia on esiintynyt yhdessäkin hampaassa, on koko suun kuvaaminen erittäin suositeltavaa jokaisen hammastarkastuksen yhteydessä.
Hammastraumat

Koirilla hampaiden käyttö on monesti aika rajua ja siksi myös hammastraumat ovat yleisiä. Hampaat voivat murtua, ja osa murtumista näkyy selvästi paljain silmin. Joskus kuitenkin murtumia voi tulla myös juuriin ienrajan alapuolelle. Tällöin päällepäin hammas voi näyttää terveeltä. Vain röntgenkuvaamalla hampaan juuret havaitaan nämä piilevät murtumat luotettavasti. Murtuneet juuret edellyttävät aina hampaan ja juurien poistoa, sillä murtunut hammas kuolee ja aiheuttaa kivun lisäksi paikallisen ja kroonisen tulehdusreaktion leukaluuhun. Tulehdus leviää alueelta helposti verenkierron mukaan kaikkialle elimistöön.
Hampaan kuolema

Hammasvauriot eivät aina aiheuta hampaan tai kiilteen murtumaa. Hammas voi myös trauman seurauksena kuolla pysyen päällisin puolin ehjänä. Kuollut hammas kuitenkin pitää poistaa edellisessä kappaleessa esitetyistä syistä. Kuollut hammas usein värjäytyy violetin tai harmaan sävyiseksi, mutta varmuus kuolemisesta saadaan luotettavimmin jonkin ajan kuluttua vaurioista kun röntgenkuvassa nähdään ydinkanavan iän myötä tapahtuvan supistumisen pysähtyneen.
Maitohampaat
 
 
Pennuilla esiintyy myös usein ongelmia maitohampaiden kanssa. Maitohampaat saattavat jäädä irtoamatta itsestään, jolloin ne on syytä poistaa. Maitohammasta ei ole tarkoitettu jäämään suuhun ja siksi se ajan myötä tulehtuu helposti. Myös monet purentaviat edellyttävät maitohampaiden poistoa tieltä mahdollistamaan pysyvien hampaiden kasvun oikeaan paikkaan. Maitohampaita poistettaessa pysyvät hampaat ovat vielä hyvin ohutkuorisia ja herkkiä vaurioitumaan varomattomassa poistossa. Tämän vuoksi on aina syytä röntgenkuvata alue ennen maitokulmahampaan poistoa, jotta nähdään puhkeamattoman pysyvän hampaan sijainti maitohampaaseen nähden. Maitohampaan juuri on monesti myös osin jo syöpynyt ja heikentynyt. Röntgenkuvasta voidaan ennakoida miten poisto kannattaa suorittaa, jotta juuri saadaan luotettavasti kokonaan poistettua.
Kystat

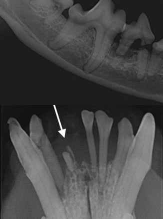
Varsinkin koirilla esiintyy usein hampaiden puutoksia. Täysin puuttuva hammas ei ole kuin esteettinen ongelma, mutta osalla koirista ”puuttuva” hammas ei ole puhjennut pintaan ja on ikenen alla leukaluussa. Tällainen hammas voi ajan myötä kehittää leukaluuhun kystan, joka laajentuessaan voi tuhota niin paljon leukaluuta, että leuka lopulta murtuu. Puhkeamaton hammas on mahdoton todeta ilman hammasröntgenkuvausta. Hampaan poistaminen on huomattavasti helpompaa ennen kuin kysta ehtii muodostua. Kysta on saatava poistettua kokonaan, jotta se ei uusi. Siksi puuttuvat hampaat kannattaa varmuuden vuoksi kuvata. Myös jalostuskoirilla voidaan kuvaamalla varmistaa onko kyse oikeasta hammaspuutoksesta vai onko hammas vielä puhkeamassa.
Hampaan poistot

Eri syistä poistettavaksi suositeltu hammas tulee aina röntgenkuvata ennen operaatiota hampaan anatomian selvittämiseksi. Röntgenkuvan avulla suunnitellaan hampaan oikeaoppinen poisto sekä varmistetaan että koko poistettavan hampaan juuri on saatu pois. Myös esimerkiksi pahan parodontiitin tai kystan vuoksi heikentyneen leukaluun kunnosta on tärkeä saada hyvä käsitys ennen poistoa, jolloin osataan hampaan poiston yhteydessä erityisesti varoa aiheuttamasta leukamurtumaa. Ja myös tieto jo valmiista leukaluun hiusmurtumasta voi olla ensiarvoisen tärkeä ennen kuin hampaita aletaan poistaa.
Suun kasvaimet
Suun kasvaimet ovat varsinkin vanhoilla lemmikeillä myös kohtalaisen usein esiintyvä ongelma. Ennen kasvaimen poistoa on kasvaimen laadun selvittämisen lisäksi usein syytä röntgenkuvata alue, jotta voidaan kartoittaa kasvaimen laajuus ja leviäminen ympäröiviin kudoksiin.
Yhteenveto
Kaiken kaikkiaan on siis monia syitä käyttää hammasröntgeniä suun terveystutkimuksissa. Koko suun hammasröntgenkuvaus on varsin nopea ja edullinen toimenpide. Näin ollen sen yhdistäminen muuhun suun terveystarkastukseen voi säästää lemmikin monen kivuliaan ja terveydelle haitallisen piilevän vaivan jatkumiselta. Ja myös omistajaa turhilta kustannuksilta, sillä ajan myötä pahemmiksi pääsevien sairauksien hoito on usein selvästi kalliimpaa.
